Tuesday, August 9, 2016

Science X Newsletter Tuesday, Aug 9

Dear Reader ,

Here is your customized Science X Newsletter for August 9, 2016:

Spotlight Stories Headlines

MIDA boronates react via two different mechanisms

Simulations suggest Venus may have once been able to support life

Ocean sediment sample holds iron believed to be from a supernova

Latest study of Tabby's star offers more weirdness

Solid Oxide Fuel Cell prototype from Nissan moves toward eco-friendly transport

Study pushes back the origin of HIV-related retroviruses to 60 million years ago

Maternal high-fat diet during pregnancy can affect baby's gut microbes

Climate change may bring more tainted shellfish to northern seas

Scientists pinpoint Ebola's weak spots

Study links global warming to rise in waterborne illnesses

Self-cleaning, anti-reflective, microorganism-resistant coatings

Study suggests a large percentage of people facing a social conflict are motivated by competition

Evidence from China shows how plants colonized the land

Study finds enzyme "cannibalizes" itself to perform an essential reaction

Protecting privacy in genomic databases

Astronomy & Space news

Simulations suggest Venus may have once been able to support life

A team of researchers with NASA, Uppsala University, Columbia University and the Planetary Science Institute has created several simulations of conditions on Venus billions of years ago using Earth climate models and has found some instances that suggest the planet may at one time have been capable of harboring life. In their paper uploaded to the preprint server arXiv, the team describes their simulations and the factors they used in creating them.

Latest study of Tabby's star offers more weirdness

A pair of researchers has added more evidence regarding the oddity of KIC 8462852, aka Tabby's Star. Benjamin Montet with the California Institute of Technology and Joshua Simon with Observatories of the Carnegie Institution of Washington have uploaded a paper to the arXiv preprint server detailing their study of the star by analyzing data from the Kepler space observatory over the past four years. They found that the star has been decreasing in brightness at an unprecedented rate.

Perseid meteors could see 'surge in activity' on Aug. 11-12

Friday 12 August sees the annual maximum of the Perseid meteor shower. This year, as well as the normal peak on the night of 12/13 August, meteor scientists are predicting additional enhanced activity in the shower the night before, as the Earth passes through a dense clump of cometary debris.

1967 solar storm nearly took US to brink of war

A solar storm that jammed radar and radio communications at the height of the Cold War could have led to a disastrous military conflict if not for the U.S. Air Force's budding efforts to monitor the sun's activity, a new study finds.

3-D Galaxy-mapping project enters construction phase

A 3-D sky-mapping project that will measure the light of millions of galaxies has received formal—approval from the U.S. Department of Energy to move forward with construction. Installation of the project, called DESI (Dark Energy Spectroscopic Instrument), is set to begin next year at the Nicholas U. Mayall 4-meter telescope at Kitt Peak National Observatory near Tucson, Ariz., with observations starting up in January 2019.

Curiosity has disproved 'old idea of Mars as a simple basaltic planet'

As NASA's Mars Science Laboratory (MSL) celebrates four years on the Red Planet Leicester planetary scientist Professor John Bridges recounts the mission's success and explains what is next for the one-ton nuclear-powered science robot.

Great balls of fire! Prepare for meteor 'outburst'

Northern hemisphere sky-gazers are in for a special treat on Thursday night with a rare shooting star "outburst", which astronomers hope will not be marred by clouds and a bright Moon.

Boeing starts assembly of first flightworthy Starliner crew taxi vehicle at Kennedy Spaceport

The next generation of America's human spaceships is rapidly taking shape and "making fantastic progress" at the Kennedy Space Center as Boeing and NASA showcased the start of assembly of the first flightworthy version of the aerospace giants Starliner crew taxi vehicle to the media last week. Starliner will ferry NASA astronauts to and from the International Space Station (ISS) by early 2018.

Swarm of satellites to explore Earth's shield from International Space Station

A flotilla of 50 small satellites - known as cubesats and weighing an average of two kilos each - will be launched from the International Space Station in the European-led as QB50 mission to explore the little-understood region above Earth known as the thermosphere.

Technology news

Solid Oxide Fuel Cell prototype from Nissan moves toward eco-friendly transport

Nissan's Solid-Oxide Fuel Cell vehicle is making news. The company revealed what they say -the Solid Oxide Fuel-Cell (SOFC)-powered prototype vehicle runs on bio-ethanol electric power.

New technique leads to improved perovskite solar cells

Scientists at the Energy Department's National Renewable Energy Laboratory (NREL), in collaboration with researchers at Shanghai Jiao Tong University (SJTU), devised a method to improve perovskite solar cells, making them more efficient and reliable with higher reproducibility.

Study highlights serious security threat to many internet users

Researchers at the University of California, Riverside have identified a weakness in the Transmission Control Protocol (TCP) of all Linux operating systems since late 2012 that enables attackers to hijack users' internet communications completely remotely.

Oracle says Micros credit card readers hacked

US business software colossus Oracle confirmed that hackers infected software in Micros credit card scanners used at hotels and restaurants around the world.

Television show "The Voice" being tuned for Snapchat

Media giant NBC Universal said that it is making a Snapchat version of its singing competition show "The Voice."

Why save a computer virus?

On average, 82,000 new malware threats are created each day. These include all sorts of malicious software – like computer viruses, computer worms and ransomware. Some are pranks or minor annoyances; others seek to pilfer data or extort money. Malware has been used to steal sensitive emails from political parties, or even as weapons directed at civilian, government or military targets.

NREL assesses strategies needed for light-duty vehicle greenhouse gas reduction

The White House wants to cut U.S. greenhouse gas (GHG) emissions by 80 percent by 2050, but the goal raises questions about one of the greatest sources of those pollutants, light-duty vehicles (LDVs). The Energy Department's National Renewable Energy Laboratory (NREL) has taken a close look at what specific combination of measures national experts have determined is needed to slash LDV emissions from 1,514 million metric tons (MMTs) to 303 MMTs of carbon dioxide (CO2) per year and meet this larger emissions-reduction goal.

Optics augments reality and brings 3-D medicine into focus

Live 3-D imaging is one of the hottest topics in optics today, transforming medical imaging capabilities and delivering the immersive experience behind augmented and virtual reality. During The Optical Society's Light the Future centennial program in Heidelberg, Germany on 26 July, Dr. Joseph Izatt of Duke University and Microsoft's Bernard Kress gave an insider's look at how these technologies are advancing medicine and changing the future of how we interact with computers.

Study addresses the connection between technology development and emissions-reduction policies

In December 2015, much of the world celebrated when 195 nations plus the European Union reached an agreement to address climate change and pledged to meet nationally determined emissions-reduction targets at the United Nations climate talks in Paris. But many experts have observed that the national targets in the Paris Agreement aren't sufficiently aggressive to meet the goal of limiting global warming to less than 2 degrees Celsius. Moreover, they worry that some countries won't be willing—or able—to meet their targets.

Can big data studies know your thoughts and predict who will win an election?

Who will win the battle for the White House to become the next President of the United States is a topic of hot debate.

Talking back: Countering terrorist narratives may reduce recruitment

Recruiters for violent extremist groups, just like screenwriters and marketers, use storytelling techniques to craft their messages. Analyzing those narratives and producing counter-narratives may be one way to cut the success of terrorist recruitment, according to researchers.

GM begins autonomous car tests in Scottsdale, Arizona

General Motors and its autonomous technology company Cruise Automation are testing self-driving cars on the streets of Scottsdale, Arizona.

Facebook sidesteps ad-blocking on desktop computers

Facebook on Tuesday began letting marketing messages slip past ad-blocking software on desktop computers.

Court deals blow to Berlin's Airbnb ban

An attempt by Berlin to clamp down on properties being rented out as holiday homes on internet platforms like Airbnb suffered a setback on Tuesday as a court ruled in landlords' favour.

University collects medical samples via drones in Madagascar

A suburban New York university is using drone technology to improve the health care of people in remote parts of Madagascar.

Electric car maker misses debt payment to Mississippi

Electric car maker GreenTech Automotive, which once planned to build 250,000 cars a year and invest $2 billion in an impoverished corner of Mississippi's Delta region, has missed a debt payment to the state of Mississippi.

News Corp pushed to profit by digital thrust

News Corp on Monday said that it turned a quarterly profit with help from digital efforts that made up for declines in newspaper advertising at Rupert Murdoch's media giant.

Medicine & Health news

Maternal high-fat diet during pregnancy can affect baby's gut microbes

The community of microbes - the microbiome - living in a baby's gut can be influenced by the mother's diet during pregnancy. Researchers at Baylor College of Medicine found that babies born to mothers who consumed a high-fat diet during pregnancy had a gut microbiome that was distinctly different from the one in babies of mothers on a non-high-fat diet. This is important because the microbiome can affect the development of babies' immune system and their ability to extract energy from food. The study appears in Genome Medicine.

Scientists pinpoint Ebola's weak spots

August 8, 2016 - Scientists at The Scripps Research Institute (TSRI) now have a high-resolution view of exactly how the experimental therapy ZMapp targets Ebola virus.

Study suggests a large percentage of people facing a social conflict are motivated by competition

A team of researchers with members from several institutions in Spain and Italy has found via experiments with volunteers that a large percentage of people faced with social conflict are motivated by competition. In their paper published in the journal Science Advances, the team describes their experiments, challenges they addressed, and their conclusions.

Protecting privacy in genomic databases

Genome-wide association studies, which try to find correlations between particular genetic variations and disease diagnoses, are a staple of modern medical research.

Gene variant explains differences in diabetes drug response

The first results from a large international study of patients taking metformin, the world's most commonly used type 2 diabetes drug, reveal genetic differences among patients that may explain why some respond much better to the drug than others. The insight could ultimately help physicians predict which patients will need higher doses than others to produce the same health effects, or need to be prescribed different drugs altogether.

Cascade of events leading to prion disease described

Prion diseases are deadly neurodegenerative disorders in humans and animals that are characterized by misfolded forms of prion protein (PrP). Development of effective treatments has been hampered by the lack of good experimental models. In a new study published in The American Journal of Pathology, researchers describe the distinct stages of prion disease in the mouse retina and define an experimental model to specifically test therapeutic approaches.

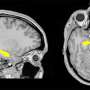
Human brain recordings provide highly sought insights into cause of Parkinson's disease

Researchers at Yerkes National Primate Research Center, Emory University, are the first to systematically record neural activity in the human striatum, a deep brain structure that plays a major role in cognitive and motor function. These two functions are compromised in Parkinson's disease (PD), which makes the neuron-firing abnormalities the study results revealed key to better understanding the pathophysiology of PD and, ultimately, developing better treatments and preventions. The study findings are reported in the current online issue of the Proceedings of the National Academy of Sciences.

GIS mapping aims to improve health care access for older adults

With a growing aging population in South Florida, a University of Miami geographer who specializes in public health teamed up with geriatricians and other geographers to conduct the first age-adjusted analysis of socially and medically vulnerable older adults in Miami-Dade, Broward, and Palm Beach counties.

Study finds racial disparity in emergency department opioid prescriptions

Dr. Astha Singhal, Assistant Professor in the Department of Health Policy and Health Services Research at Boston University Henry M. Goldman School of Dental Medicine (GSDM), published a study that found a racial disparity in opioid prescriptions for emergency department visits for non-definitive pain-related conditions. Titled "Racial-Ethnic Disparities in Opioid Prescriptions at Emergency Department Visits for Conditions Commonly Associated with Prescription Drug Abuse," the paper was published in PLOS ONE on Aug 8th. The paper was co-authored by Yu-Yu Tien of the University of Iowa College of Pharmacy and Renee Y. Hsia of the University of California at San Francisco.

Some psychotic disorders may be induced by drugs designed to combat effects of epilepsy

Today Brain publishes a new study indicating that antiepileptic drugs designed to reduce seizures, may also induce psychotic disorders in some patients.

Needle biopsies for noninvasive breast cancer: Routine analysis wastes millions

For patients with the most common type of noninvasive breast cancer, routine testing for estrogen and progesterone receptors in tissue taken at the first "needle" biopsy is both unnecessary and wasteful, according to results of a study led by Johns Hopkins pathologists.

Study finds that cardinals may be shielding Atlanta residents from West Nile virus

A bird species that does a poor job spreading West Nile virus (WNV) but is particularly likely to get mosquito bites may explain why human infections with the disease are relatively uncommon in Atlanta, Georgia—despite evidence of high rates of virus circulating in the local bird population, according to a new study published online today in the American Journal of Tropical Medicine and Hygiene.

Bangladeshi boy with 'old man' illness baffles doctors

A four-year-old Bangladeshi boy suffering from a mysterious illness that makes him look like an old man has been admitted to hospital for tests, doctors and his family said.

HIV is not a super-spreader of drug-resistant tuberculosis

While the human immunodeficiency virus (HIV) pandemic fuels tuberculosis (TB) outbreaks, it does not drive the development and transmission of multidrug-resistance in TB patients as previously suspected, according to a study published in eLife.

Could suppression of Gαq/11 signaling be a promising target for treating bone loss?

Intermittent parathyroid hormone treatment (iPTH) and mechanical loading through exercise have both been shown to stimulate bone formation. These osteoanabolic stimuli are partially mediated by G protein-coupled receptors. Previous studies have suggested that enhanced signalling through the Gαq/11 pathway inhibits the bone-building actions of PTH, however the influence of enhanced Gαq/11 pathway on exercise has not been reported in vivo.

The health risks of doping

Olympians are often considered the best athletes in the world, but with that comes the pressure to perform. As a result, some Olympic athletes may turn to doping. Baylor College of Medicine's Dr. Thomas Kosten examines the effects of doping and discusses why doping is an important issue to address.

Regular exercise can lead to heart disease misdiagnosis

Scientists have shown that people who exercise for even a few hours each week can enlarge their hearts. This is a normal and beneficial response to exercise, but until now has only been recognised in athletes. The researchers say that doctors should now consider an individual's activity level before diagnosing common heart conditions.

Computation of motion by T4 cells in the fly brain more complex than previously believed

As indicated by their name, photoreceptor cells in the eye respond to light: is an image point bright or dark? They do not indicate the direction of a movement. This perception only arises in the brain through the comparative computations of light signals coming from adjacent image points. Engineers, physicists and neurobiologists have been debating the exact nature of these computations for around 50 years. Scientists from the Max Planck Institute of Neurobiology have now combined two theories about these computations, which were previously considered to be alternative hypotheses – and discovered that they are carried out in a single neuron.

How the immune system scales its response in proportion to any threat

Two Oxford University scientists have proposed a solution to a puzzle of the human immune system: how our immune system scales its response in proportion to any threat to our health to make it 'just right'. Their ideas, published in the journal Trends in Immunology, could support a range of medical research.

Scientists locate possible therapy target for spinal muscular atrophy

Researchers at Iowa State University have discovered what could lead to a new treatment for spinal muscular atrophy, a potentially fatal genetic disorder in young children.

The importance of being protected—how to choose your sunglasses

Experts from the University of Alicante (UA) have found that prolonged exposure to the sun increases the chance of developing alterations in the lens by 4%. Choosing the right pair of sunglasses can reduce such complications.

Study reveals cholesterol link in aggressive cancers

University of Queensland research has revealed how fats – including cholesterol – could increase the progression of aggressive cancers.

Diabetics should be wary of paleo diet, expert warns

People with type 2 diabetes should be wary of social media hype about the benefits of going on the paleo diet, a University of Melbourne researcher says.

Ability to quit smoking differs by race

When it comes to quitting smoking, older African-Americans and Latinos have an edge over whites, according to a University of Michigan researcher and colleagues.

New study seeks to use human serum to detect heart attacks

A new study, led by Prof. Jaesung Jang at Ulsan National Institute of Science and Technology (UNIST), South Korea, has developed a new sensor for early detection of heart attack in humans.

Smart homes enhance seniors' safety

In Singapore, as well as many other countries, ensuring a high quality of life for an expanding elderly population demands that community eldercare providers strike a delicate balance between frequently competing factors. For instance, safety is sometimes at odds with privacy; providing comprehensive care may erode an elderly person's cherished sense of independence; and a sense of security may give rise to a sense of being controlled.

New blood test identifies women at risk of preterm delivery as early as 17 weeks of pregnancy

An international team of researchers assembled by David Olson, a professor of obstetrics and gynecology in the Faculty of Medicine & Dentistry, has developed a blood test to identify pregnant women at risk of delivering babies prematurely—before the usual 40 weeks of gestation. The study was published in the journal PLOS One.

Chemist devises on-the-spot test for dangerous 'bath salts' and 'plant food'

You don't need to have watched too many episodes of the US television series Breaking Bad to know that rogue chemists play a critical role in the global trade of illicit and dangerous drugs.

Diet drinks study to tackle obesity

The University of Liverpool is running the largest ever investigation into artificially sweetened drinks and their effect on weight loss and weight maintenance.

Light and caffeine improve driver alertness

Bright light combined with caffeine can improve driving performance and alertness of chronically sleep deprived young drivers, according to a QUT road safety study.

Palliative care barriers must be addressed for heart/stroke patients

A new policy statement on palliative care, issued today by the American Heart Association, highlights how critical this care is to Americans with heart disease or stroke, and makes recommendations on how to address the current barriers that prevent many of these patients and their families from accessing it.

Do mobile phones give you brain cancer?

It is a question any mobile phone user would be keen to have answered – and science does offer some clues. In 2011, for example, the International Agency for Research on Cancer (IARC) classified mobile phone radiation as a possible human carcinogen, group 2B.

Are cellular lipids the missing link between a faulty gene and dystonia?

Researchers at VIB-KU Leuven have managed to get a clearer view on the roots of dystonia, a neurological disorder that causes involuntary twisting movements. Led by Rose Goodchild (VIB-KU Leuven) and supported by the Foundation for Dystonia Research, the VIB scientists unraveled the mechanism by which DYT1 dystonia – the disease's most common hereditary form – causes cellular defects. The findings shed new light on this poorly understood condition – and may, ultimately, lead to new medical approaches to overcome it.

Study may lead to better breast cancer drugs

Biomedical scientists have revealed the inner workings of a group of proteins that help to switch critical genes on and off during blood-cell production, in a finding that could lead to the development of new and improved cancer drugs.

How technology is changing the way your GP treats you

Doctors were armed with a stethoscope and thermometer 50 years ago, but new technology means GPs now have a bag full of gadgets to find out what is wrong with patients.

Scientists uncover clues to prevent disease pandemics

EU-funded researchers have examined new ways of rapidly detecting infectious pathogens - such as rabies and influenza - in order to prevent pandemics.

Financial worries linked to mental health issues among university students

Experiencing financial difficulties and worrying about debt at university increases the risk of mental health conditions such as depression and alcohol dependency, according to new research from the University of Southampton and Solent NHS Trust.

Differences in brain activity between people who dream and people who do not dream

Measurements demonstrated that the brain activity of people who dream during NREM sleep, compared to people who do not dream, is closer to the brain activity of awake people.

Scientists identify Down's Syndrome gene

Geneticists have identified an enzyme which regulates the production of sperm and egg cells in human reproduction.

New study shows breast tumors evolve in response to hormone therapy

Many breast tumors grow in response to female hormones, especially estrogen. Drugs that reduce estrogen levels in the body often are effective in reducing tumor size and preventing recurrence of the cancer. But some tumors become resistant to these therapies and continue to grow and spread.

Promising new treatment for lupus on the horizon

A drug originally used to boost the immune system is showing promise as a potential new treatment for lupus, Monash University-led research published today (August 9) shows. Lupus is an autoimmune disease, where the immune system attacks the body's own organs and tissues.

New model sheds light on secondary bacterial pneumonia

August 9, 2016 - For years, researchers have known that the bacteria Staphylococcus aureus (S. aureus) can trigger severe, sometimes deadly secondary bacterial pneumonia, in some people who are subsequently infected with influenza A virus, but scientists have not known exactly how this happens. Now, scientists have developed a new model for studying this phenomenon, which could lead to new treatments designed to prevent secondary bacterial infections. The findings were published this week in mBio, an online open-access journal of the American Society for Microbiology.

US diabetic kidney disease rate unchanged

The overall prevalence of diabetic kidney disease has not changed significantly in the United States for 30 years, but the characteristics of kidney disease have changed markedly, according to a study in JAMA, the journal of the American Medical Association.

Most patients taking warfarin long-term do not maintain stable INR values

In a study appearing in the August 9 issue of JAMA, Sean D. Pokorney, M.D., M.B.A., Eric D. Peterson, M.D., M.P.H., of Duke University Medical Center, Durham, N.C., and colleagues examined whether patients receiving warfarin who have stable international normalized ratio (INR) values remain stable over time.

Device reduces risk of brain injury after heart valve replacement

Among patients with severe aortic stenosis (narrowing of the aortic valve) undergoing transcatheter aortic valve implantation, the use of a cerebral protection device (a filter that captures debris [tissue and plaque] dislodged during the procedure) reduced the number and volume of brain lesions, according to a study appearing in the August 9 issue of JAMA.

Studies in humans and animals show link between GALNT2 gene and levels of HDL cholesterol

Researchers have uncovered how genes identified from genome-wide association studies (GWAS) affect high-density lipoprotein cholesterol (HDL-C), a biomarker of cardiovascular disease, after comparing several animal models with human patient data. A large team from the Perelman School of Medicine at the University of Pennsylvania, the University of Copenhagen, Bristol-Myers Squibb and several others institutions detail their findings in a paper published today in Cell Metabolism.

Helper molecule reverses degeneration of muscle in mouse model of tissue aging, wasting

Maintaining proper levels of an essential helper molecule is crucial for optimal muscle function, according to a study led by Joseph Baur, PhD, an assistant professor of Physiology in the Perelman School of Medicine at the University of Pennsylvania. Some athletes are already taking supplements to increase synthesis of this compound, called NAD, with the hopes of reversing the natural decay associated with aging of the mitochondria, the cell's powerhouses. However, this is the first study to directly investigate the consequences of NAD deficiency on muscle function. The Penn team published their findings this week in the cover article of Cell Metabolism.

Sex hormones skew outcomes in clinical trials—here's how

Clinical research often excludes females from their trials under the assumption that "one size fits all," that a painkiller or antidepressant will be equally effective in subjects of either sex, but a growing number of scientists are criticizing this approach. In an Essay published August 9 in Cell Metabolism, one group argues that hormones and other variables make a difference in how potential therapeutics behave, and both males and females must be accounted for in trials to move medical advances forward.

Why is breast cancer common but heart cancer rare?

Malignant cancers strike certain organs, such as the colon or breast, more often than others. In an Opinion publishing August 9 in Trends in Cancer, researchers propose that this vulnerability in some organs may be due to natural selection. Humans can tolerate tumors in large or paired organs more easily than in small, critical organs, such as the heart, and so the larger organs may have evolved fewer mechanisms to defend against cancerous cells.

Researchers are pioneering tools for heart regeneration

Cardiovascular diseases are the leading cause of death in the U.S. With one in every four deaths occurring each year, the five-year survival rate after a heart attack is worse than most cancers. A big part of the problem is the inability of the human heart to effectively repair itself after injury. A team of University of Houston researchers is trying to change that.

How to engineer a stronger immune system

With a trick of engineering, scientists at the Gladstone Institutes improved a potential weapon against inflammation and autoimmune disorders. Their work could one day benefit patients who suffer from inflammatory bowel disease or organ transplant rejection.

Latin-American, Caribbean health systems need more investment as populations age

The health systems of six Latin American and Caribbean countries have made substantial progress toward universal coverage—providing free or subsidized healthcare to the majority of their populations—but continue to face challenges managing more complex health needs such as those related to cardiovascular disease, cancer, stroke and depression, a new study from the UCLA Fielding School of Public Health and the Inter-American Development Bank finds.

New research supports the removal of drug use as a restriction to hepatitis C treatment

New, highly curative hepatitis C therapy is both safe and effective as a treatment option for people who inject drugs receiving opioid substitution therapy according to the results of a world-first clinical trial led by Professor Gregory Dore at the Kirby Institute at UNSW Australia and published today in the Annals of Internal Medicine.

New testing method developed for genetic mutation that causes pulmonary hypertension

Pulmonology and genetics experts from two Utah healthcare organizations have collaboratively developed a new diagnostic genomic testing method for a rare form of pulmonary hypertension caused by a genetic mutation they discovered three years ago.

Developmental psychology: Little strategists

Sharing with others and getting something back: Preschoolers expect someone who has benefitted from their generosity to reciprocate when an opportunity arises to do so.

New method opens up the possibility of customizing breast milk for premature children

About 7 percent of all Danish children are born prematurely. This is of significant im-portance not only to the child's development, but it also affects the mother's body that - unexpectedly - has to produce the necessary nutrition for the newborn baby.

'Fixing' blood vessel cells to diagnose blood clotting disorders

When in dysfunction, the vascular endothelium—the tissue that lines the blood vessels throughout our body's entire circulatory system—plays a big role in the development of many human diseases, including diabetes, stroke, heart disease, viral infections and cancer. This is because endothelial cells are sensitive to blood flow and also interact with blood cells through molecules on their surface, so that blood coagulation and platelet function are modulated. In normal 'hemostasis', the endothelium prevents deadly blood loss and clot formation. However, dysfunction or inflammation of the endothelium may result in aberrant blood coagulation inside the vessels, leading to life-threatening blockages or hemorrhage.

Diet designed to lower blood pressure also reduces risk of kidney disease

People who ate a diet high in nuts and legumes, low-fat dairy, whole grains, fruits, and vegetables and low in red and processed meat, sugar-sweetened beverages and sodium were at a significantly lower risk of developing chronic kidney disease over the course of more than two decades, new Johns Hopkins Bloomberg School of Public Health research suggests.

In search of neurobiological factors for schizophrenia

Schizophrenic psychoses are a frequently occurring group of psychiatric disorders caused by a combination of biological, social and environmental factors. These disorders are associated with changes to the brain structure: for example, the hippocampus in the temporal lobe is usually smaller in affected individuals than in healthy ones. It is not yet known whether these changes to the brain structure are a result of the disorders and their accompanying medications, or whether they are already present before the onset of symptoms.

Researchers ID key drivers of heart complications in sickle cell anemia

Patients with sickle cell anemia (SCA) develop heart complications and nearly a quarter die a sudden death. Now, researchers have linked malfunctioning molecular pathways to specific heart anomalies in SCA that result from progressive fibrosis and result in sudden death.

People buy most of their junk food at the supermarket

An analysis of a nationally representative sample of U.S. adults reveals that access to healthy foods in a supermarket does not hinder Americans' consumption of empty calories. In fact, the study found, U.S. adults buy the bulk of their sugar-sweetened beverages and nutrient-poor discretionary foods at supermarkets and grocery stores.

African American surgical patients benefit in universally insured health system

A new study from Brigham and Women's Hospital utilized claims data from more than 630,000 patients living in the state of California and found no significant differences in post-operative complications or mortality between African American patients and White patients who were treated in a universally insured military health system. Meanwhile, African Americans treated in civilian settings who were either uninsured or on Medicaid experienced significantly higher odds of mortality, complications, and readmission after surgery as compared to Whites, implying that universal insurance may mitigate disparities. The findings were published online Tuesday, August 9th, in Annals of Surgery.

Want a better memory? Try eating a Mediterranean diet

Eating a Mediterranean diet can slow down cognitive decline.

Heredity explains African-American paradox, researcher says

Research from a University of North Texas historian supports the idea that the nation and region of origin of your ancestors contributes to your risk of developing, or not developing, a growing list of medical conditions.

Active life expectancy varies for older blacks, whites

(HealthDay)—Life expectancy has increased for older whites and blacks, but blacks, especially women, have a smaller percentage of remaining life spent active, according to a study published in the August issue of Health Affairs.

Need for medical care offers chance to aid trafficking victims

(HealthDay)—Injuries and illness requiring medical care provide an opportunity for health care professionals to provide assistance to trafficked persons, according to an article published online Aug. 9 in the Annals of Internal Medicine.

Contemporary ECG criteria cuts costs of screening athletes

(HealthDay)—Contemporary electrocardiographic (ECG) screening criteria can reduce the costs of screening of athletes, according to a study published in the Aug. 16 issue of the Journal of the American College of Cardiology.

Review IDs predictors of post-TAVR cerebrovascular events

(HealthDay)—For patients undergoing transcatheter aortic valve replacement (TAVR), predictors of cerebrovascular events (CVEs) include female sex, chronic kidney disease, new-onset atrial fibrillation, and enrollment date, according to a review published in the Aug. 16 issue of the Journal of the American College of Cardiology.

Recs developed for neoadjuvant chemo in ovarian cancer

(HealthDay)—Guidelines have been developed for neoadjuvant chemotherapy use for newly diagnosed, advanced ovarian cancer. The clinical practice guideline was published online Aug. 8 in the Journal of Clinical Oncology.

1 in 5 are discharged from hospital with unstable vital signs

Twenty percent of people hospitalized are released before all vital signs are stable, a pattern that is associated with an increased risk of death and hospital readmission, a new study by UT Southwestern Medical Center researchers shows.

Outdated assessment of treatment response makes good cancer drugs look bad

Tumor shrinkage is not the only measure of a successful anti-cancer therapy. A University of Colorado Cancer Center article published in the journal Frontiers in Oncology describes a promising alternative: metabolic imaging. Tumors rush their metabolism to grow and proliferate. By recognizing a drug's ability to stop this energy overuse, doctors may be able to determine a patient's response to a new, targeted therapy far earlier and with far more precision than watching and waiting for a tumor to shrink.

LISA best strategy to prevent chronic lung disease in preterm infants

Researchers from McMaster University have evaluated and determined the best ventilation strategy to prevent chronic lung disease, one of the most significant complications in preterm infants.

Jaw-dropping research explains mouth formation during embryonic development

Whitehead Institute researchers have identified the pre-mouth array—an area of the developing face in embryonic frogs—that "unzips" to surround the mouth opening. Their work highlights the precision necessary to create the mouth and identifies the cellular mechanisms that drive its formation.

Killer T cells recognize cancer in pre-clinical tumors, but are silenced as tumor develops

One of the challenges for developing truly successful immunotherapies is that cancer is a wily foe for the immune system. Tumors have multiple lines of defense against our immune cells' attempts to attack them. Although our immune cells are trained early in development to not recognize and harm our own cells, cancerous cells bear many tumor-specific molecules, or antigens—molecules which, in theory, could spur a potent immune response, if the tumors weren't able to block such a response. An outstanding puzzle in the immunotherapy field concerns the early stages of tumor development, in which cancerous cells acquire "driver" mutations in some of their genes. Such driver mutations are responsible for directing the cell to behave as a cancer, and can change the appearance of the cells to the point that they could be recognized as foreign by the immune system, but to date researchers have had difficulty finding evidence that our immune cells actually recognize these very early stages of tumor formation.

Calling 5G into question

As wireless companies prepare to launch the next generation of service, there are new questions about the possible health risks from radiation emitted by cellphones and the transmitters that carry the signals.

Plastic manufacturing chemical BPS harms egg cells, study suggests

Bisphenol S, a chemical used to manufacture polycarbonate water bottles and many other products such as epoxy glues and cash receipts, is an increasingly common replacement for bisphenol A, the of which was discontinued because of concerns about its harmful effects on the reproductive system. In a new study, UCLA researchers have found that BPS is just as harmful to the reproductive system as the chemical it replaced. BPS damages a woman's eggs and at lower doses than BPA.

Researchers develop algorithm to find precise cancer treatments

University of Hawai'i Cancer Center researchers developed a computational algorithm to analyze "Big Data" obtained from tumor samples to better understand and treat cancer.

Most sick, aging americans live far from in-home care

(HealthDay)—Most older Americans struggling with chronic illnesses live too far from "in-home" medical care providers to get the help they need to stay in their homes, a new study finds.

Fake xanax cut with potent pain med can be a killer

(HealthDay)—At least one San Francisco-area drug user died and eight more landed in the ER in late 2015 after taking counterfeit Xanax tablets that had been cut with a powerful and dangerous opiate, a new report shows.

Adults hold key to preventing kids' drownings

(HealthDay)—Parents and others need to do more to prevent child drownings and near-drownings, according to an expert in trauma and injury prevention.

Florida probes new Zika case outside Miami

Florida is investigating a new case of Zika infection outside the neighborhood in Miami where mosquitoes are believed to have spread the virus to more than a dozen people, officials said Monday.

Psychologist's magic makes a non-existent object disappear

Magicians use sleight of hand to confuse you about where an object is. But could they make you believe that you saw a non-existent object disappear?

Evidence insufficient to make recommendation regarding screening for lipid disorders in children

The U.S. Preventive Services Task Force (USPSTF) has concluded that the current evidence is insufficient to assess the balance of benefits and harms of screening for lipid disorders in children and adolescents 20 years or younger. The report appears in the August 9 issue of JAMA.

World's largest commercial glycan array launched

Griffith University's Institute for Glycomics has partnered with Dextra Laboratories to launch the world's largest commercial glycan array and bioanalytical service offering.

Adaptive pathways: EMA still leaves open questions unanswered

At the beginning of August, the European Medicines Agency (EMA) published a report on a pilot project of a new accelerated path for drug approval (adaptive pathways). In this approval procedure, for a highly restricted population drugs are to be launched on the market faster based on less evidence. Further data on effectiveness, safety, and benefit for broader use are only to be generated after drug approval within everyday health care - as so-called real world data.

How do the bugs in your gut affect neurodegenerative and psychiatric diseases?

A growing body of scientific and medical evidence continues to shed light on the complex interaction between metabolic pathways affected by microrganisms living in the human gut and gene expression, immune function, and inflammation that can contribute to a range of cognitive, psychiatric, and neurodegenerative disorders. The Comprehensive Review article, "Microbiota & Neurological Disorders: A Gut Feeling," published in BioResearch Open Access, a peer-reviewed open access journal from Mary Ann Liebert, Inc., publishers, explores this rapidly evolving field of study and how it is advancing toward the development of new therapies and diagnostics across a broad spectrum of indications. The article is available to download on the BioResearch Open Access website.

Research evaluates 18-month neurobehavioral outcomes in single-family room NICU

The prevalence of preterm birth - the birth of an infant prior to 37 weeks of pregnancy - is a significant health problem that has increased over the past two decades. According to the Centers for Disease Control and Prevention (CDC), preterm birth affects nearly 500,000 babies each year, or one of every eight born in the U.S. While medical care has improved survival rates for preterm infants, questions remain about ways to positively impact the neurodevelopmental outcomes of preterm infants. New research suggests that the environment of care in a neonatal intensive care unit (NICU) contributes not only to the short-term, but also to the long-term neurobehavioral development of preterm infants.

Study finds Medicaid expansion did not increase emergency department use

George Washington University (GW) researchers published a Health Affairs study finding that the expansion of Medicaid insurance coverage in the Patient Protection and Affordable Care Act (ACA) did not increase hospital emergency department visits, as was widely predicted by policymakers and researchers.

Baby in Texas dies from Zika

A baby born with brain defects caused by the mosquito-borne Zika virus has died in Texas, marking the southern state's first Zika-related death, officials said Tuesday.

S. Leone, Liberia risk Ebola-like outbreaks from poor sanitation

Sierra Leone and Liberia risk new deadly epidemics akin to the impact of the Ebola virus due to lack of clean water and hygienic conditions in most homes, an NGO warned Tuesday.

Biology news

Study pushes back the origin of HIV-related retroviruses to 60 million years ago

Lentiviruses cause a variety of chronic diseases in mammals —- ranging from the most notorious example of HIV/AIDS in humans to various neurological disorders in primates——yet little is known of their evolutionary history and origin.

Study links global warming to rise in waterborne illnesses

Rising global temperatures are clearly linked to increasing waterborne food poisoning, particularly from eating raw oysters, along with other nasty infections, a new study shows.

Side swim style saves shark energy

Hammerhead sharks swim on their sides up to 90 per cent of the time to save energy, a Murdoch University researcher has found.

New findings and research methods leading to elucidation of fertilization mechanism

A Japanese research group has determined the crystal structure of the JUNO protein, an egg surface protein essential for fertilization. These structure-based mutational analyses elucidated a mechanism of the interaction between egg (JUNO protein) and sperm (IZUMO1) on a molecular level. These studies will provide a framework toward an understanding of the fertilization mechanism.

DNA dominos on a chip

Normally, individual molecules of genetic material repel each other. However, when space is limited DNA molecules must be packed together more tightly. This case arises in sperm, cell nuclei and the protein shells of viruses. An international team of physicists has now succeeded in artificially recreating this so-called DNA condensation on a biochip.

Undergraduates uncover mechanism tied to plant height

Dwarfed plants add color and a diversity of architectures to landscapes and gardens, and a Purdue University undergraduate class discovered a key mechanism that leads to their small stature.Graduate student Norman Best led an undergraduate plant physiology class in an exercise that identified a mutation in a dwarf variety of sunflower, called Sunspot, that keeps the plant short. The eight Purdue students, along with scientists that supported the work, published their results in the Journal of the American Society of Horticultural Science.

Hi-tech test to find elusive sawfish

Researchers from James Cook University and Charles Darwin University are using the cutting-edge eDNA (environmental DNA) technique to look for the critically endangered largetooth sawfish in remote northern Australia.

Stem cells of worms and humans more similar than expected

The transient form of genetic information, the RNA, is processed in a similar manner in the cells of both organisms. These mechanisms seem to be at work throughout the whole animal kingdom. Scientists from the Max Delbrück Center for Molecular Medicine in the Helmholtz Association (MDC) and their international partners showed this in a genome-wide study on flatworms whose results have now been published in the scientific journal eLife.

Recreational activities on private land help landowners and conservation

Successfully integrating human activities with ecosystem conservation forms the foundation of sustainability and is key to maintaining biological diversity. A new study has found that recreational use of private land in the U.S. could have significant benefits for both conservation efforts and economic return, especially when coupled with certain policy mechanisms.

Video: Saving salmon, one embryo at a time

For the past 15 years, aquacultural salmon farmers in Maine have struggled with plummeting embryo survival rates, forcing them to drastically increase the number of eggs they produce—which comes with a hefty price tag. LeeAnne Thayer, Ph.D. candidate in marine sciences at the University of Maine, is determined to find out what is causing the declines.

Study demonstrates rapid decline in male dog fertility, with potential link to environmental contaminants

A study led by researchers at The University of Nottingham has discovered that the fertility of dogs may have suffered a sharp decline over the past three decades.

Big agriculture has the chance to help or hinder our most important pollinators

New research published today in PeerJ  has identified the most serious future threats to, but also opportunities for pollinating species, which provide essential agricultural and ecological services across the globe.

Tiny Asian beetle wreaking havoc on North America's ash trees

Over the next two years, grounds crews in St. Louis will cut down nearly one out of every five trees, altering the US city's leafy landscape for at least a generation.

Researchers have developed a new class of artificial proteins

In the journal, Nature Communications, a team of Danish researchers reports that they have developed a new class of artificial proteins. In the long term, the results could lead to better treatment of cancer and diabetes.

Deer evolution: Ancient DNA reveals novel relationships

Ludwig-Maximilians-Universitaet (LMU) in Munich researchers have sequenced mitochondrial DNA from museum specimens of rare species of deer. Analysis of partial nucleotide sequences has enabled the team to refine our picture of the evolutionary history of cervids.

Why are New England's wild blue mussels disappearing?

The Gulf of Maine coastline, historically home to one of the richest shellfish populations in the U.S., is undergoing a dramatic change, with once-flourishing wild blue mussels all but disappearing, according to a study led by University of California, Irvine ecologists.

Many drought-resistant plants also draw pollinators

Water-wise gardens don't have to resemble sterile moonscapes, devoid of anything but layers of rock and gravel. They can feature scores of attractive drought-resistant plants that invite bees, butterflies, hummingbirds, and other pollen- and nectar-gathering species to your yard.

Many more species at risk from Southeast Asia tree plantations, study finds

As more of Southeast Asia's natural forests are cleared and converted into plantations for growing oil palm, rubber and other tree crops, a Duke University-led study finds that 42 percent of species endemic to the region's forests face a much higher risk of extinction from habitat loss than previously thought.


This email is a free service of Science X Network
You received this email because you subscribed to our list.
If you no longer want to receive this email use the link below to unsubscribe.
https://sciencex.com/profile/nwletter/
You are subscribed as jmabs1@gmail.com

No comments:

Post a Comment